In the quest for sustainable and efficient aquaculture practices, researchers have turned to nature’s bounty for solutions. A recent study published in *Scientific Reports* has shed light on the potential of Phyllanthus emblica (PE), a plant known for its wide array of bioactive properties, to revolutionize the tilapia farming industry. The research, led by Roshmon Thomas Mathew from the Fish Resources Research Center at King Faisal University, explores the impact of dietary PE on the growth, immunity, and disease resistance of Red Tilapia.
The study, which involved feeding Red Tilapia diets supplemented with varying levels of PE, revealed that a 5 g/kg inclusion rate optimized growth performance. This was evident in the significantly greater body weight, weight gain, and specific growth rate observed in the PE5 group compared to the PE20 group. “The results were quite remarkable,” Mathew noted. “We saw a clear dose-dependent response, with the lower dose of PE promoting better growth parameters.”
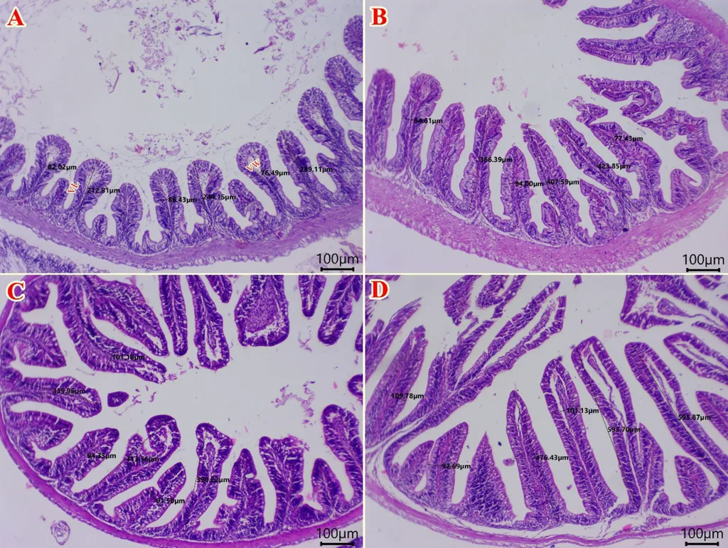
Beyond growth, the study also delved into the health aspects. PE-supplemented groups exhibited lower levels of liver enzymes, creatinine, glucose, and lipid profiles, indicating improved overall health. Moreover, the antioxidant enzyme activities and immunological parameters were significantly enhanced in the PE-fed fish. This suggests that PE could be a powerful tool in boosting the health and resilience of farmed tilapia.
One of the most intriguing findings was the differential gene expression observed with varying PE doses. While 5 g/kg of PE enhanced the expression of growth genes, a higher dose of 20 g/kg resulted in superior immune and antioxidant capabilities. This dual potential of PE to enhance both growth and health could be a game-changer for the aquaculture industry.
The commercial implications of this research are substantial. With the global demand for seafood on the rise, farmers are constantly seeking ways to improve production efficiency and sustainability. PE, a natural and readily available resource, could offer a cost-effective and eco-friendly solution. As Mathew pointed out, “This study opens up new avenues for exploring plant-based feed additives in aquaculture. It’s a step towards more sustainable and profitable farming practices.”
The study also highlights the importance of understanding the delicate balance between growth and health. As the aquaculture industry continues to evolve, so too must our approaches to feed formulation and disease management. The findings from this research could pave the way for more targeted and effective use of natural growth promoters and health boosters in fish farming.
In the broader context, this research underscores the potential of agritech innovations to drive sustainable development in agriculture. By harnessing the power of natural resources, we can create more resilient and productive farming systems. As we look to the future, the integration of such innovations will be key to meeting the growing demand for food while minimizing our environmental impact.
The study, led by Roshmon Thomas Mathew from the Fish Resources Research Center at King Faisal University, was published in *Scientific Reports*, offering a promising glimpse into the future of sustainable aquaculture.

